Sự sống mong manh khi vừa chào đời
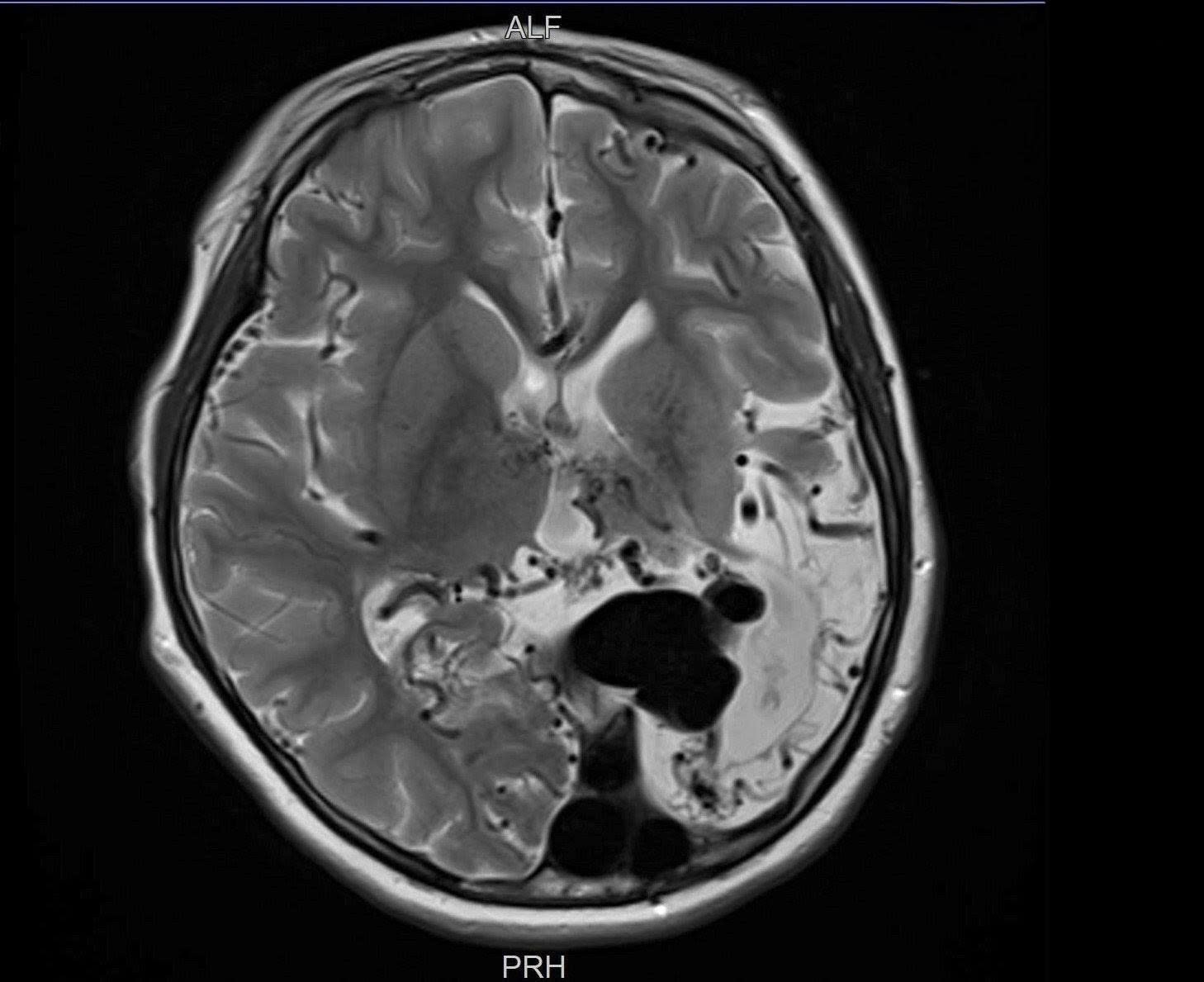
Ngay khi chào đời tại Bệnh viện Nhi Đà Nẵng, bé N.P.T.D đã rơi vào tình trạng tím tái, suy tim cấp, suy hô hấp nặng. Các bác sĩ phát hiện trong não bé có khối dị dạng mạch máu não bẩm sinh, có nhiều động mạch nuôi phức tạp và lưu lượng máu chảy qua rất cao.
Các chuyên gia đầu ngành trong và ngoài nước đã hội chẩn, đều nhận định đây là trường hợp dị dạng mạch máu não khá lớn và phức tạp, rất khó để can thiệp.

Hình chụp MRI não cho thấy khối dị dạng đã chiếm một vùng não của bé
Bà nội của bé D. xúc động nhớ lại: "Cả gia đình tôi lúc đó suy sụp khi nghe bác sĩ cho hay cháu có thể ra đi bất cứ lúc nào nếu khối dị dạng đó bị vỡ hoặc sống trong tình trạng tàn phế khi bị nó chèn ép. Cuộc đời của cháu tôi như thế thì làm sao được! Chúng tôi thấy xót xa lắm!"
Từ một tia hy vọng đến kết quả ngoài mong đợi
Không từ bỏ hy vọng, mẹ bé đọc được một bài báo về ca dị dạng mạch máu não phức tạp được can thiệp thành công do TS.BS Trần Chí Cường - nay là Giám đốc bệnh viện S.I.S Cần Thơ thực hiện, gia đình lập tức tìm đến bác sĩ.
Khi bé D. vừa tròn 1 tuổi, TS.BS Trần Chí Cường đã có ca can thiệp đầu tiên cho bé tại Đà Nẵng. Các bác sĩ trong ekip can thiệp cho biết: "Lần can thiệp này là một thử thách lớn, trong khi khối dị dạng phức tạp thì bệnh nhi lại còn quá nhỏ, dụng cụ can thiệp hạn chế."
Sau nhiều nỗ lực, lần can thiệp đầu tiên đã thành công, vượt ngoài sự mong đợi.
Chiến lược can thiệp được các bác sĩ hội chẩn là can thiệp nhiều lần cho bé để giảm nhẹ, giảm nguy cơ vỡ khối dị dạng. BS.CKI Dương Hoàng Linh, đơn vị can thiệp DSA, bệnh viện S.I.S Cần Thơ chia sẻ thêm: "Suốt 10 năm, bé D. đã trải qua 8 lần can thiệp mạch não. Mỗi lần là một cuộc chiến sinh tử, đòi hỏi bản lĩnh và sự tận tâm của đội ngũ y bác sĩ cùng niềm tin mãnh liệt từ gia đình."
Từ một bé gái bị yếu liệt, gặp nhiều khó khăn trong sinh hoạt và sử dụng ngôn ngữ, đã có thể tự đứng, bước đi khi được 3 tuổi rưỡi. Và hiện tại, khi 10 tuổi, bé D. học tập, vui chơi bình thường như bao bạn bè khác.

Hình ảnh DSA mạch máu não trước và sau can thiệp
Bà nội bé D. chia sẻ: Hồi cháu 1 tuổi, bác sĩ Cường hứa sẽ giúp được 80%. Giờ tôi thấy còn hơn cả 80% rồi. Chứ hồi nhỏ, bé nó đi không được, nó nói không được, chúng tôi cứ rơi nước mắt với cháu. Nhưng nhìn cháu hiện tại, chúng tôi rất là mừng.
Giấc mơ được khoác áo blouse trắng
Bà nội bé D. kể lại:"Gần đây, khi bác sĩ Cường hỏi:“Con thích gì nhất? bé D. đáp:“Con thích cái áo của bác sĩ.”"
Nghe bác Cường nói nếu bé D. ngoan sẽ được bác tặng áo, từ hôm đó, bé D. càng cố gắng hơn, ngay cả tiêm chích lấy máu mà cháu cũng không còn sợ, không khóc luôn. Sau can thiệp 24 tiếng, cháu chấp hành rất là nghiêm túc, để tay để chân không động đậy, rất là ngoan.

Hình ảnh bé chụp cùng các bác sĩ
TS.BS Trần Chí Cường đã trao tặng cho bé D. chiếc áo blouse trắng như lời động viên và tiếp thêm động lực để bé theo đuổi ước mơ. Với các bác sĩ bệnh viện S.I.S Cần Thơ, khoảnh khắc cô bé nhỏ nhắn nhưng khỏe khoắn trong chiếc áo ấy cũng là một hình ảnh rất ý nghĩa sau 10 năm đồng hành cùng bé.
